
Mebukuro
目の下のクマ・たるみとり
切開たるみ取りは睫毛の際を切開し、突出した脂肪は移動・固定・場合によっては切除します。余った皮膚は計測デザインし切除します。
ハートライフクリニックでは、眼輪筋(下まぶたの筋肉)を外側の眼窩骨縁(眼球を入れる頭蓋骨のくぼみの縁)を糸で吊り上げて、固定いたします。
※施術には、それぞれメリットやリスクがありますので、まずはお気軽にご相談ください。
目の下のクマ取り・たるみはこんな方におすすめ

- 元気なのに、”疲れてる?”と聞かれることが増えた
- 朝しっかり寝たのに、寝不足に見られてしまう
- 鏡や写真を見るたびに、表情が暗く老けて見える
- コンシーラーを重ねてもクマが隠せない
- 目元をこするクセがあり、気づいたらクマが色濃くなっていた
クマ・たるみの原因は目袋の3脂肪

目の下のクマやたるみ、多くの方が「疲れ」や「むくみ」と思いがちですが、実はその正体は“目袋”と呼ばれる3つの脂肪です。
年齢を重ねたり、目を酷使したりすることで、この脂肪を支えている力が弱まり、下まぶたにふくらみが現れます。
ふくらみが目立つと、目の下に影ができて老けた印象や疲れ顔に見えてしまいます。
生まれつき脂肪が多い方は、若いうちから目立つことも。
こうした目の下のクマやたるみは、マッサージや化粧品ではほとんど改善できません。
根本的に解消するには、目袋の3つの脂肪をしっかり取り除く治療が必要です。
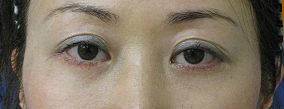
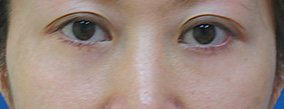
目の下のクマ・たるみとりの症例写真
一部の症例は、リピーター向けキャンペーンが適用された料金や料金改定前のものでございます。
料金表と照らし合わせても合計料金が合致しませんので、ご承知おきくださいませ。
モニター限定プラン【定価から65%OFF】

切らない目の下の脂肪取り(脱脂)麻酔・診療料込
(3つの脂肪取りまとめセット)
モニター限定プランでは、まぶたの裏側から目袋3脂肪を取り除く切らないクマ取り治療を、通常の治療と同じ内容でお受けいただけます。モニターの方には、HPやSNSへの症例写真の掲載をお願いしております。他院であるような治療内容や担当医に違いはございませんので、安心してご応募いただけます。ご不明な点がございましたら、お気軽にお問い合わせください。※土日限定プラン
77,000
円(税込)
※キャンペーンご利用をご希望の方はこちらの画面をスタッフまでご掲示ください
なお、ご来院時以外(お電話・メール・LINEなど)でのキャンペーン適用のご希望はお受けできませんので、あらかじめご了承ください。
クマ取りの経過画像


当院のクマ取りの治療(脱脂術)は、目の下にたまった余分な脂肪を取り除く方法です。
そのため、ほとんどダウンタイムがなく、施術後すぐに普段通りの生活に戻れるのが特徴です。施術直後から2日ほどは軽い腫れやむくみ、内出血が見られることがありますが、1週間も経つとほとんど目立たなくなります。1ヶ月後には自然な仕上がりになり、脂肪をしっかり取ることで、長期間にわたってクマが目立たなくなる効果が期待できます。クマの原因の脂肪を取り除くため、しっかりとクマが解消され、見た目の若返りや疲れ顔の改善の効果が期待できます。
クマの種類

目の下のクマは、血行不良や色素沈着、皮膚の薄さ、脂肪のふくらみなど、原因によっていくつかのタイプに分けられます。
クマの種類を知ることで、自分に合ったケアや治療法を選ぶことができ、セルフケアで改善が期待できるものもあれば、ほとんど改善が難しいタイプもあります。
先で説明させていただいたように、目の下の脂肪が原因のクマやたるみは、マッサージや化粧品では解消しにくいため、まず自分のクマのタイプを見極めることが、治療の第一歩となります。
黒クマ:最も多い種類のクマ症状

黒クマは、主に加齢や目元の筋力低下、脂肪のふくらみによって、目の下のたるみや凹みが影となって黒っぽく見えるクマです。
黒クマは目の下のクマ症状の中で最も多く、9割以上がこのタイプに当てはまります。
目の周りの筋肉が薄い方にもこの症状がみられるため、生まれつきこの症状がみられる方も多いです。
| 原因 | 加齢や目元の筋肉の衰えによる脂肪のふくらみや皮膚のたるみ |
|---|---|
| セルフケア | 黒クマはセルフケアでは改善が難しいです |
| 治療方法 | 脱脂術・裏ハムラ法・ヒアルロン酸・リジュランi |
赤クマ:目元の薄さや疲れが気になる方

赤クマは、目元の皮膚が薄い方や、目の疲れが気になる方に多く見られるクマです。
目の下が赤紫色やピンクっぽく見え、特に疲れたときや睡眠不足のときに目立ちます。
放置すると青クマや黒クマに進行することもあるため、早めの対策が大切です。
| 原因 | 目元の皮膚が薄いことや、血行不良、目の周りの筋肉の衰え、加齢や生活習慣の乱れ、眼精疲労など。 |
|---|---|
| セルフケア | 【血行促進と目元ケアがポイント】 ・蒸しタオルやホットアイマスクで目元を温める ・目の周りを優しくマッサージして血流を良くする(摩擦に注意) ・目元専用の保湿クリームでしっかり保湿する ・ビタミンEなど血行を良くする栄養素を積極的に摂取する ・十分な睡眠と規則正しい生活を心がける ・適度な運動や入浴で全身の血流を促進する |
| 治療方法 | セルフケアで改善が難しい場合や、より早く効果を実感したい場合は美容医療が必要。 【美容医療】 脱脂術・裏ハムラ・リジュランi |
青クマ:ストレスや睡眠不足が気になる方

青クマは、ストレスや睡眠不足、長時間のデスクワークなどで血行不良が起こり、目の下が青黒く見えるクマです。
疲れや生活習慣の乱れが続くと目立ちやすくなります。
| 原因 | 主な原因はストレスや睡眠不足、長時間のパソコン作業、冷え、喫煙などによる血行不良。 皮膚が薄い方や貧血気味の方にも多く見られる。 目周りに血管が集中している方にもみられるため、生まれつきこの症状がみられる方も多いです。 |
|---|---|
| セルフケア | 【血行を促進するセルフケアがおすすめ】 ・十分な睡眠やストレスの解消 ・目元を温める ・適度な運動 ・バランスの良い食事(鉄分やビタミン類の摂取)など しかし、皮膚が極端に薄い場合は難しい。 |
| 治療方法 | セルフケアで改善が難しい場合や、より早く効果を実感したい場合は美容医療が必要。 【美容医療】 ヒアルロン酸・リジュランi |
茶クマ:目元をこすりがち方

茶クマは、目元をこすりがちな方に多く見られる、目の下が茶色く見えるクマです。
皮膚を引っ張っても色が薄くならず、茶色い部分が皮膚と一緒に動くのが特徴です。主に摩擦や紫外線による色素沈着が原因で、日常的な刺激が積み重なることで発生します。
| 原因 | 目元をこするクセやクレンジング時の摩擦、紫外線、乾燥などによる刺激でメラニン色素が蓄積し、色素沈着が起こることが主な原因 |
|---|---|
| セルフケア | 【摩擦・紫外線対策と美白ケアがポイント】 ・目元をこすらないように意識し、摩擦を避ける ・クレンジングや洗顔は優しく行う ・紫外線対策として日焼け止めやサングラスを活用する ・美白成分(ビタミンC誘導体やハイドロキノンなど)配合のアイクリームを使う ・目元の乾燥を防ぐため、しっかりと保湿する ・アレルギーや花粉症の方は目をこすらない工夫をする |
| 治療方法 | 色素沈着が強い場合やセルフケアで改善しない場合は美容医療が必要。 【美容医療】 リジュランi・美白成分配合の外用薬(ハイドロキノンなど) |

ただ、セルフケアでは一時的な解消がされても根本的な治療ができないため繰り返しクマができやすくなっている。
根本的な治療を行う場合は治療が必須となる。また、自分でタイプを判別するのは極めて難しい。治療方法を間違えたり放置すると悪化して黒クマになってしまう。
ハートライフのクマ取りが
選ばれる3つの理由
Point
1
開院20年以上
クマ症例数1,200件以上(形成外科医5名在籍)

当院は開院から20年以上にわたり、地域の皆さまに信頼される医療を提供してきました。
長年の経験に基づく確かな技術と、豊富な治療実績を活かし、お一人おひとりに合わせた最適な治療をご提案しています。
これまで多くの患者さまの目元のお悩みに寄り添い、丁寧なカウンセリングとアフターケアで、安心して治療を受けていただける環境を整えています。
Point
2
豊富な治療バリエーション
あなたに合わせたオーダーメイド治療

当院では、患者さまのご要望や目のたるみ・シワの状態、骨格に合わせて最適な治療をご提案します。
脂肪取りやリジュランiなどのダウンタイムが少ない切らない治療から、たるみが重度の方には切開治療(下眼瞼除皺術)まで幅広く対応。
さらに、治療の負担を軽減するセルフケア方法も丁寧にレクチャーしています。
Point
3
明朗会計を徹底
目の下の3脂肪を取ってこの価格

他院では取る脂肪の個数によって料金が変動する場合がありますが、当院では除去する脂肪の数や量に関わらず、追加料金は一切かかりません。
患者さま一人ひとりの状態に合わせて、最適な量の脂肪を、除去量による価格の変動なく丁寧に取り除きます。
体の構造を熟知した
形成外科医専門医
だからできる自然な仕上がり

美容外科医には様々な医師がいますが、私たちは「人体の構造の深い理解」が必要となる形成外科医の専門性にこだわっています。
人体の構造を理解している形成外科医だからこそ「顔のトータルバランス」や「安全性」を最優先に考え、自然で美しいデザインがご提供できます。
万が一のリスクも対処能力が高く術後も責任をもってサポート可能です。
モニター限定プラン【定価から65%OFF】

切らない目の下の脂肪取り(脱脂)麻酔・診療料込
(3つの脂肪取りまとめセット)
モニター限定プランでは、まぶたの裏側から目袋3脂肪を取り除く切らないクマ取り治療を、通常の治療と同じ内容でお受けいただけます。モニターの方には、HPやSNSへの症例写真の掲載をお願いしております。他院であるような治療内容や担当医に違いはございませんので、安心してご応募いただけます。ご不明な点がございましたら、お気軽にお問い合わせください。※土日限定プラン
77,000
円(税込)
※キャンペーンご利用をご希望の方はこちらの画面をスタッフまでご掲示ください
なお、ご来院時以外(お電話・メール・LINEなど)でのキャンペーン適用のご希望はお受けできませんので、あらかじめご了承ください。
当院の切らないクマ取り治療
こんな方におすすめ
- 仕事や学校で忙しくダウンタイムを避けたい方
- 周囲に気づかれずにクマを改善したい方
- 目元にメスを入れることに抵抗がある方

このような方には、当院の切らないクマ取り治療がおすすめです。
切らない目の下の脂肪取り(脱脂)

当院ならではの「目の下の脂肪取り(脱脂)」は、たるみの原因となる“目袋3脂肪”をまぶたの裏側から取り除く切らないクマ取り治療です。
目の下の脂肪取り(脱脂)は、目元の繊細な構造や個人差に合わせた最適なバランスを見極める高度な技術が求められる手術です。
そのため、当院では経験豊富な医師が一人ひとりの目元の状態を丁寧に見極め、適切な量の脂肪を調整して除去することで、自然で美しい仕上がりを実現します。
除去量による価格の変動はなく、まぶたの裏側からの施術なので外から傷跡が残る心配もありません。
| 施術時間 | 加齢や目元の筋肉の衰えによる脂肪のふくらみや皮膚のたるみ |
|---|---|
| 通院 | なし |
| シャワー | 当日から可能 ※目元は避けて濡らさないように気を付けてください ※施術当日のは30分以上の入浴は避けてください |
| 持続期間 | 半永久的に効果あり ※ただし、加齢によって新たに症状が発生する可能性はあり |
| 痛み | 麻酔を使用するため、ほとんどなし |
| ダウンタイム | 1週間程度の腫れや内出血 |
| 副作用 | 腫れ・内出血・目がかすむ ※術後2~3日は泣いた後のような、むくみが生じる場合があります。 |
モニター限定プラン【定価から65%OFF】

切らない目の下の脂肪取り(脱脂)麻酔・診療料込
(3つの脂肪取りまとめセット)
モニター限定プランでは、まぶたの裏側から目袋3脂肪を取り除く切らないクマ取り治療を、通常の治療と同じ内容でお受けいただけます。モニターの方には、HPやSNSへの症例写真の掲載をお願いしております。他院であるような治療内容や担当医に違いはございませんので、安心してご応募いただけます。ご不明な点がございましたら、お気軽にお問い合わせください。※土日限定プラン
77,000
円(税込)
※キャンペーンご利用をご希望の方はこちらの画面をスタッフまでご掲示ください
なお、ご来院時以外(お電話・メール・LINEなど)でのキャンペーン適用のご希望はお受けできませんので、あらかじめご了承ください。
たるみのハリ回復や血流の改善(リジュランi)

リジュランiは、目元の皮膚に直接注入することで、コラーゲンやエラスチンの生成を促し、肌のハリや弾力を回復させます。
これにより、たるみによる黒クマや、皮膚の薄さが原因の青クマ・赤クマの改善が期待できます。
また、毛細血管の新生や血流の促進作用もあるため、血行不良による青クマにも効果的です。
| 施術時間 | 10分程度 |
|---|---|
| 通院 | 6か月~12か月に1度 |
| シャワー | 当日から可能 ※当日の入浴・サウナは避けてください |
| 持続期間 | 効果は施術後数週間から実感できます |
| 痛み | 注射時にチクッとした痛みがありますが、麻酔クリームなどで軽減できます |
| ダウンタイム | 2~7日程度。赤みや腫れ、内出血が出ることがありますが、通常数日で落ち着きます |
| 副作用 | 赤み、腫れ、内出血、まれに痛みやアレルギー反応が起こることがあります |
裏ハムラ法

裏ハムラ法は、目の下のクマやたるみの原因となる脂肪を、下まぶたの裏側から切開し、ふくらみの下の凹みに移動させて目元の凹凸を整える施術です。
脂肪を除去せず再配置するため、自然な仕上がりで小じわやへこみも起こりにくく、皮膚表面に傷跡が残らないのが特徴です。
皮膚のたるみが少なく、脂肪の突出が主な原因の方や、ダウンタイムや傷跡を気にされる方におすすめです。
| 施術時間 | 約60~90分 |
|---|---|
| 通院 | 術後1週間前後で経過観察 |
| シャワー | 当日から可能 ※目元は避けて濡らさないように気を付けてください ※施術当日のは30分以上の入浴は避けてください |
| 持続期間 | 効果は長期間持続し、数年~半永久的 |
| 痛み | 麻酔を使用するため、ほとんどなし |
| ダウンタイム | 1週間程度の腫れや内出血 |
| 副作用 | 腫れ、内出血、痛み、熱感、むくみ、傷跡の赤み、左右差、感染、まれにしこりや知覚鈍麻など |
脂肪取り+切開法によるたるみ取り
脂肪取り+切開法によるたるみ取り(下眼瞼除皺術)
クマ(ふくらみ)の状態が深刻でその影響から皮膚が伸びてしてまっているため、脂肪を取り除くだけでは十分な効果を得られない可能があります。
特に、加齢によって皮膚自体が余ってしまっている場合や、たるみとともにシワも顕著な場合は、切開法(下眼瞼除皺術)が必要です。
切開法では、下まつげのすぐ下を切開し、余分な皮膚や脂肪をしっかり取り除くことで、目の下のたるみやクマ、シワを根本から改善します。
この方法は、たるみやシワが強い方でも自然で若々しい目元を長期間維持できるのが特徴です。
| 施術時間 | 約90~120分 |
|---|---|
| 通院 | 抜糸のため手術後5~7日後、その後経過観察で1か月後・3か月後など計2~3回 |
| シャワー | 当日から可能 ※目元は避けて濡らさないように気を付けてください ※施術当日の入浴は避けてください |
| 持続期間 | 半永久的に効果あり ※ただし、加齢によって新たに症状が発生する可能性はあり |
| 痛み | 術後3日程度は鈍痛や違和感が出ることがありますが、鎮痛剤でコントロール可能 |
| ダウンタイム | 腫れや内出血は1~2週間程度。完成まで約3か月かかります。 ※個人差あり |
| 副作用 | 腫れ、内出血、感染、左右差、傷跡、まれに結膜浮腫やドライアイ、知覚鈍麻、外反など |
クマ取り・たるみ取り切開手術(表ハムラ)
表ハムラ法は、下まぶたの皮膚の表側を切開し、たるみやクマの原因となる眼窩脂肪を目の下の溝(瞼頬溝)へ移動させることで、膨らみやくぼみ、皮膚のたるみやシワを同時に改善する施術です。
余分な皮膚も切除できるため、重度のたるみやシワがある方にも効果的で、若々しくハリのある目元を目指せます。
特に、目の下のたるみやシワ、ふくらみが強い方や、皮膚の余りが目立つ方、年齢による目元の老け感が気になる方に向いています。
| 施術時間 | 約90~120分 |
|---|---|
| 通院 | 抜糸のため手術後5~7日後、その後経過観察で1か月後・3か月後など計2~3回 |
| シャワー | 当日から可能 ※目元は避けて濡らさないように気を付けてください ※施術当日の入浴は避けてください |
| 持続期間 | 半永久的に効果あり ※ただし、加齢によって新たに症状が発生する可能性はあり |
| 痛み | 術後3日程度は鈍痛や違和感が出ることがありますが、鎮痛剤でコントロール可能 |
| ダウンタイム | 腫れや内出血は1~2週間程度。完成まで約3か月かかります。 ※個人差あり |
| 副作用 | 腫れ、内出血、痛み、むくみ、赤み、左右差、傷跡、知覚鈍麻、しびれ、色素沈着、肥厚性瘢痕、感染など |

患者さまのご要望はもちろん、皮膚のたるみやシワの状態をしっかりと見極めたうえで、最適な治療方法をご提案いたします。
目の下のクマ取り・たるみのメニュー・料金表
モニター限定プラン【定価から65%OFF】

切らない目の下の脂肪取り(脱脂)麻酔・診療料込
(3つの脂肪取りまとめセット)
モニター限定プランでは、まぶたの裏側から目袋3脂肪を取り除く切らないクマ取り治療を、通常の治療と同じ内容でお受けいただけます。モニターの方には、HPやSNSへの症例写真の掲載をお願いしております。他院であるような治療内容や担当医に違いはございませんので、安心してご応募いただけます。ご不明な点がございましたら、お気軽にお問い合わせください。※土日限定プラン
77,000
円(税込)
切らない目のクマ取り治療
| リジュランi | 45,000円 |
|---|---|
| 切らない目の下の脂肪取り(脱脂術) | 220,000円 |
| 目の下の脂肪の再配置(裏ハムラ) | 385,000円 |
脂肪取り+切開法にとるたるみ取り
| 脂肪取り+切開法によるたるみ取り(下眼瞼除皺術) | 360,000円 |
|---|---|
| クマ取り・たるみ取り切開手術(表ハムラ) | 480,000円 |
※キャンペーンご利用をご希望の方はこちらの画面をスタッフまでご掲示ください
なお、ご来院時以外(お電話・メール・LINEなど)でのキャンペーン適用のご希望はお受けできませんので、あらかじめご了承ください。
よくあるご質問
手術後の腫れが心配なのですが… 施術によって異なりますが、切開治療などは1週間程度の腫れや内出血などがある場合があります。
※個人差はあります
手術時の痛みが心配なのですが… 適切な局所麻酔を行いますので、殆んど痛みはありません。
手術後にメイクは可能ですか? 脱脂術と裏ハムラは当日から可能でリジュランiも翌日からメイクが可能です。
(ただし患部への強い刺激やアイメイクは腫れが落ち着くまで控えるのが推奨)
切開法は抜糸後にメイクが可能となります。抜糸のスケジュールは術後5日~7日となります。
クマ取り治療後にコンタクトレンズは使用できますか? リジュランiは切開を伴わないため、施術翌日以降や目元の腫れ・違和感が落ち着いてからコンタクトレンズの使用が可能です。一方、脱脂術(経結膜脱脂)、裏ハムラ法、表ハムラ法、下眼瞼除皺術(切開法)などの治療では、術後1週間以降からの装着が推奨されています。
もとの状態に戻ってしまうことはありますか? リジュランiは注入治療のため、効果の持続は6か月~1年程度で、時間の経過とともに元の状態に近づいていきます。効果を維持するには定期的な施術が必要です。
一方、脱脂術(経結膜脱脂)、裏ハムラ法、表ハムラ法、下眼瞼除皺術(切開法)の治療は、目の下の脂肪を除去または再配置するため、効果は半永久的または10年以上持続することが多いとされています。ただし、加齢や重力の影響で新たなたるみやクマが出てくることがあり、完全に元に戻るわけではありませんが、再発のリスクは低いです。

記事医師監修
渡邊雅人
ハートライフクリニック院長
日本美容外科学会(JSAS)会員
アラガン施注資格認定医
ジュビダームビスタ認定医
ジュビダームビスタボリューマXC・ボリフトXC認定医






