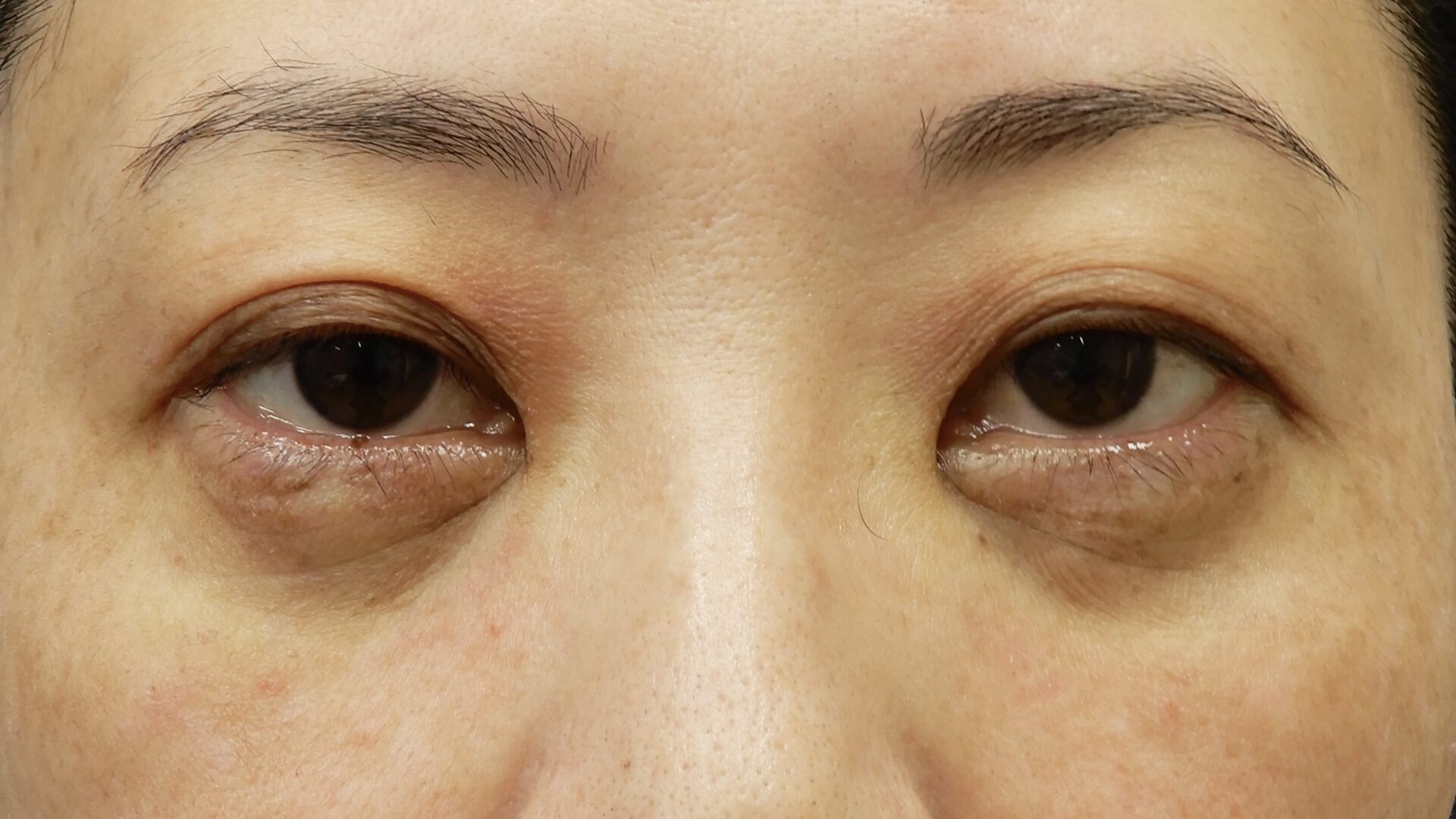
before

after

before

after

before

after

| 施術名 | クマ取り|切らない目の下の脂肪取り(脱脂) |
|---|---|
| 費用 | 165,000円 |
| リスク・ 副作用 | 腫れ・内出血・目がかすむ ※術後2~3日は泣いた後のような、むくみが生じる場合があります。 |
|---|
ダウンタイム経過
施術前

施術直後

施術後1か月


記事医師監修
土屋 皓大
ハートライフクリニック院長
・日本形成外科学会認定専門医
・日本医師会認定産業医
・乳房インプラント責任医師
・臨床研修指導医
・日本形成外科学会
・日本形成外科学会(JSAPS)
・日本美容皮膚科学会
・日本創傷外科学会
・日本乳房オンコプラスティックサージャリー学会














