before

after

before

after

before

after

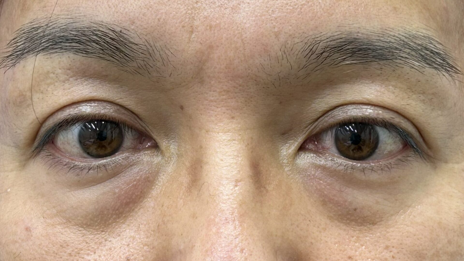
| 施術名 | クマ取り|切らない目の下の脂肪取り(脱脂) |
|---|---|
| 費用 | 165,000円 |
| リスク・ 副作用 | 腫れ・内出血・目がかすむ ※術後2~3日は泣いた後のような、むくみが生じる場合があります。 |
|---|
ダウンタイム経過
施術前

施術直後

施術後1週間

施術後1か月


記事医師監修
渡邊雅人
ハートライフクリニック院長
記事医師監修
渡邊雅人
ハートライフクリニック院長
日本美容外科学会(JSAS)会員
アラガン施注資格認定医
ジュビダームビスタ認定医
ジュビダームビスタボリューマXC・ボリフトXC認定医














