【女性:40代】クマ取り – ハートライフクリニック(静岡県浜松市の美容皮膚科・美容外科)

ハートライフクリニック(静岡県浜松市の美容皮膚科・美容外科)
    
トップページ 症例 【女性:40代】クマ取り

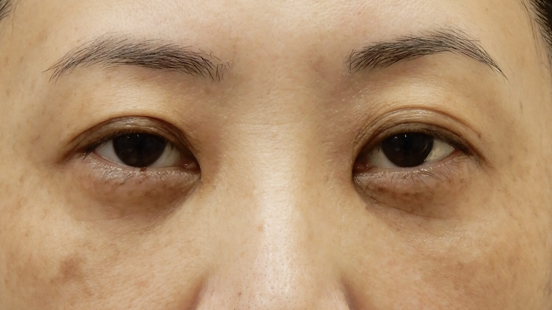
before

after

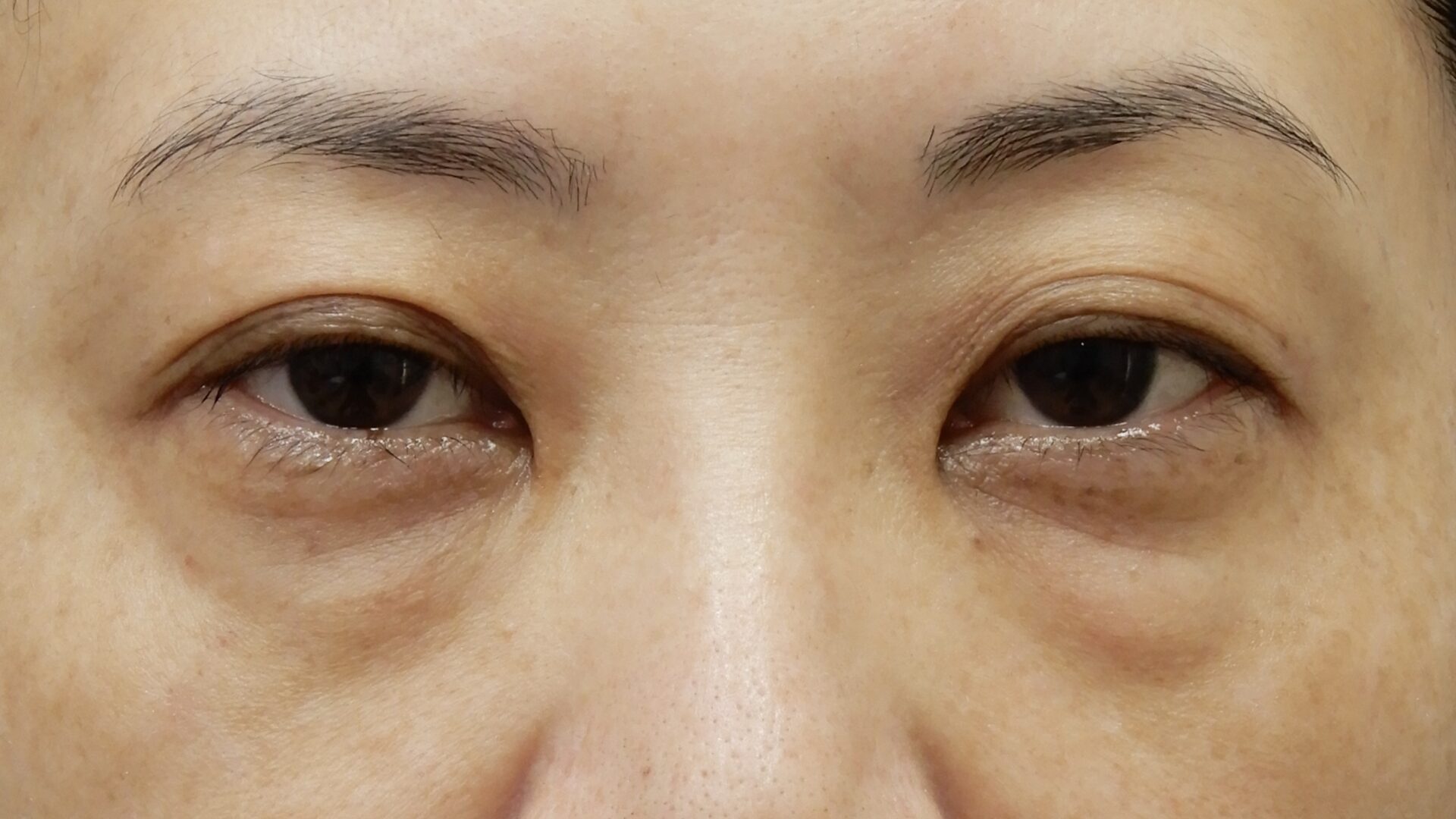
before

after

before

くまとりビフォー

after

くまとりアフター
施術名クマ取り|切らない目の下の脂肪取り(脱脂)
費用165,000円
リスク・
副作用
腫れ・内出血・目がかすむ
※術後2~3日は泣いた後のような、むくみが生じる場合があります。

ダウンタイム経過

施術前

くまとりビフォー

施術直後

クマ

施術後1か月

くまとりアフター

記事医師監修

渡邊雅人

ハートライフクリニック院長

日本美容外科学会(JSAS)会員
アラガン施注資格認定医
ジュビダームビスタ認定医
ジュビダームビスタボリューマXC・ボリフトXC認定医

その他の症例