Case
症例一覧
一部の症例は、リピーター向けキャンペーンが適用された料金や料金改定前のものでございます。
料金表と照らし合わせても合計料金が合致しませんので、ご承知おきくださいませ。
全症例一覧
-
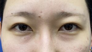
この症例を詳しく見る: 【女性:20代】二重埋没法 4点留め
【女性:20代】二重埋没法 4点留め
before
after
before
after
施術名
費用
-
この症例を詳しく見る: 【女性:20代】二重埋没法 4点留め(ナチュラル)
【女性:20代】二重埋没法 4点留め(ナチュラル)
before
after
before
after
施術名
費用
-
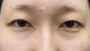
この症例を詳しく見る: 【男性:20代】二重埋没法 4点留め(ナチュラル)
【男性:20代】二重埋没法 4点留め(ナチュラル)
before
after
before
after
施術名
費用
-
この症例を詳しく見る: 二重埋没法 4点留め
二重埋没法 4点留め
before
after
before
after
施術名
費用














