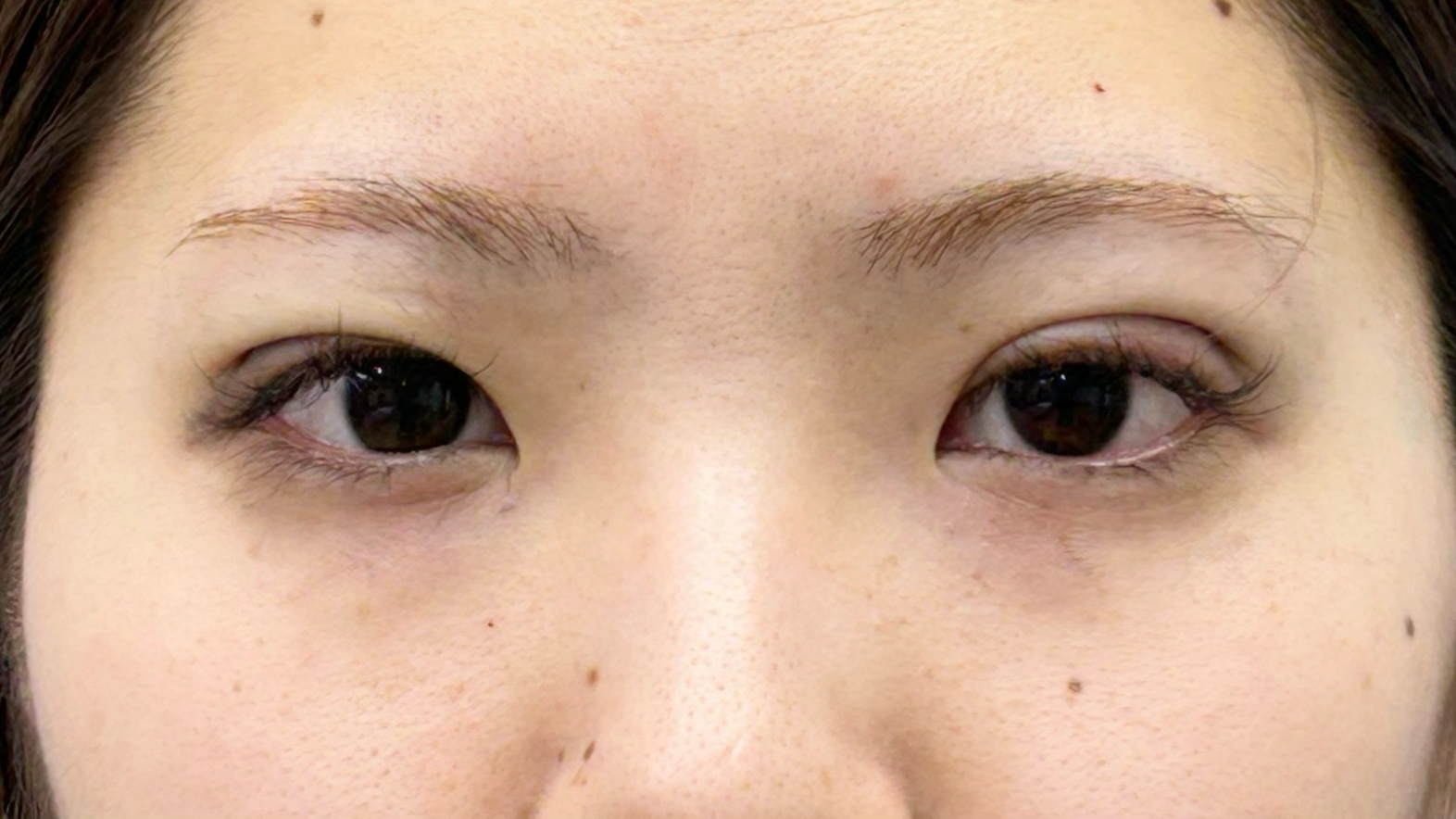
before

after

| 施術名 | 二重埋没法 4点留め |
|---|---|
| 費用 | 220,000円 |
| リスク・ 副作用 |
皮下出血が起こることもありますが、数日から2週間程度で落ち着きます。 軽度な腫れもみられますが、1~2週間で引きます。 二重の幅は、はじめはやや広いのですが、腫れが引くと共に狭くなっていき、ほとんどの方は1ヶ月で落ち着きます。 |
ダウンタイム経過
施術前

施術直後

施術後1週間

施術後1ヵ月


記事医師監修
渡邊雅人
ハートライフクリニック院長
記事医師監修
渡邊雅人
ハートライフクリニック院長
日本美容外科学会(JSAS)会員
アラガン施注資格認定医
ジュビダームビスタ認定医
ジュビダームビスタボリューマXC・ボリフトXC認定医










